技术文章
Technical articles
更新时间:2025-11-21
点击次数:411

研究背景:
RNA的N6-甲基腺苷(m⁶A)修饰是真核生物中普遍的内部RNA化学修饰,被誉为“表观转录组学"的核心调控层。过去十年的大量研究揭示了m⁶A在信使RNA(mRNA)的代谢、剪接、翻译和降解中扮演关键角色,并通过其“阅读蛋白"(如YTHDF家族)执行功能,进而广泛影响细胞生理与病理过程,包括肿瘤发生。YTHDF2是其中重要的阅读蛋白,其主要功能是识别m⁶A修饰并促进靶标mRNA的降解。
然而,绝大多数研究集中于mRNA和长链非编码RNA,对于m⁶A修饰在种类繁多的“自我"非编码RNA(尤其是具有核心细胞功能的snRNA)上的作用知之甚少。U6 snRNA是剪接体的关键组成部分,传统认知中其功能严格限定在细胞核内的pre-mRNA剪接。近年来,研究发现U6 snRNA在癌细胞中高表达,且可被METTL16进行m⁶A修饰,但其在细胞质中的命运和生理病理功能是一个未解之谜。
同时,慢性炎症是多种癌症的关键驱动因素,而紫外线(UVB)是诱导皮肤炎症和皮肤癌的主要环境因素。尽管已知Toll样受体3(TLR3)能识别外源双链RNA引发免疫反应,但其如何被内源性RNA激活并参与肿瘤发生,机制尚不明确。本研究正是在此背景下,探索m⁶A修饰的自我非编码RNA(以U6 snRNA为代表)是否以及如何通过YTHDF2阅读蛋白,调控天然免疫应答和肿瘤发生,从而连接表观转录组学、炎症与肿瘤三大领域。
研究方法:
本研究采用多层次实验方法以阐明YTHDF2通过m⁶A U6 snRNA调控炎症与肿瘤的机制。
在分子与细胞水平,研究者利用RNA干扰、基因敲除与过表达技术,结合RNA-seq和qPCR,旨在验证YTHDF2缺失对炎症通路的关键作用。通过m⁶A-seq、RNA免疫沉淀和体外结合实验,旨在发现并证实YTHDF2直接结合m⁶A修饰的U6 snRNA并介导其降解。使用TLR3抑制剂、基因敲低及LRR结构域突变体,旨在证明U6通过TLR3的LRR21域激活炎症。
在亚细胞定位层面,采用内体分离、免疫荧光和FISH技术,旨在揭示YTHDF2与U6通过SIDT2转运至内体并发生功能互作。
在动物模型与临床关联层面,构建皮肤特异性YTHDF2敲除小鼠并进行UVB致癌实验,旨在证实YTHDF2在活体水平抑制炎症与肿瘤发生。通过分析人类皮肤癌组织芯片与自身免疫病数据库,旨在阐明YTHDF2表达的临床相关性。
多种方法层层递进,揭示从RNA修饰到免疫激活的全新信号轴。
主要研究结果:
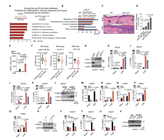
1、YTHDF2控制炎症基因表达
研究通过RNA-seq和体内外实验证实YTHDF2是炎症的关键负调控因子。在人类角质形成细胞中敲低YTHDF2会显著上调TNF、IL-17和TLR3等炎症通路相关基因。在构建的皮肤特异性YTHDF2敲除小鼠模型中,UVB照射诱导了更严重的皮肤炎症,表现为表皮增厚、CD45+免疫细胞浸润增加。在细胞水平,敲低YTHDF2增强了UVB诱导的TNF-α、IL-6、COX-2等关键炎症因子的表达,而过表达YTHDF2则抑制这一过程。此外,临床数据分析发现,YTHDF2在系统性红斑狼疮和I型糖尿病患者中表达下调。这些结果共同确立了YTHDF2在抑制炎症反应中的核心地位。

图1 YTHDF2控制炎症基因表达
2、YTHDF2结合m⁶A修饰的U6 snRNA并诱导其降解
为探究YTHDF2调控炎症的机制,研究发现了其非编码RNA新靶点——U6 snRNA。虽然m⁶A-seq未找到典型的炎症基因靶标,但通路分析提示非编码RNA代谢重要。质谱分析显示YTHDF2与多个U6 snRNP蛋白互作。后续实验证实,YTHDF2敲低或UVB照射均能显著提升U6 snRNA水平,而过表达YTHDF2则降低其水平。通过RIP和m⁶A-IP实验,证明YTHDF2直接结合U6 snRNA,且该结合依赖于METTL16催化的m⁶A修饰。RNA稳定性实验表明,YTHDF2通过促进U6降解来调控其丰度,揭示了其超越mRNA代谢的新功能。

图2 YTHDF2结合m⁶A修饰的U6 snRNA并诱导其降解
3、YTHDF2通过U6 m⁶A甲基化控制炎症基因表达
研究通过功能挽救实验证实,YTHDF2调控炎症依赖于U6 snRNA。在HaCaT细胞中,敲低U6能够逆转因YTHDF2敲低引起的TNF-α、IL-6等炎症因子上调。值得注意的是,体外合成的U6 RNA经UVB照射后并不能诱导炎症,说明其效应并非由UVB直接损伤引起,而是依赖于其内在序列或修饰。METTL16敲低在A431细胞中模拟了YTHDF2敲低的促炎效应,而此效应同样可被U6敲低所挽救。在YTHDF2敲除的细胞中,METTL16敲低不再进一步加剧炎症,证明YTHDF2位于METTL16的下游执行功能。这些数据构建了METTL16-m⁶A U6-YTHDF2轴调控炎症的清晰路径。

图3 YTHDF2通过U6 m⁶A甲基化控制炎症基因表达
4、YTHDF2与m⁶A U6结合从而抑制其与TLR3的结合
研究阐明了YTHDF2抑制炎症的精确分子机制:与TLR3竞争性结合U6。小规模siRNA筛选发现TLR3是介导YTHDF2敲低促炎效应的关键受体。体外结合实验表明,重组TLR3可同等结合U6与m⁶A U6,而YTHDF2优先结合m⁶A U6。在细胞内,YTHDF2的存在使m⁶A U6与之结合,而非TLR3;一旦YTHDF2缺失,m⁶A U6则转向与TLR3强力结合,激活炎症。进一步通过TLR3截断体鉴定出U6结合其LRR21结构域,而已知的dsRNA类似物poly(I:C)结合的是LRR20域。这揭示了TLR3通过不同结构域区分不同RNA配体,而YTHDF2通过“占据"m⁶A U6来阻断其激活TLR3。

图4 YTHDF2与m⁶A U6结合从而抑制其与TLR3的结合
5、U6与YTHDF2均定位于内体
研究揭示了U6-TLR3通路激活的细胞器定位。细胞组分分离和免疫荧光实验证实,UVB照射或YTHDF2敲低会显著增加U6在细胞质和内体中的聚集,并与内体标志物Rab7共定位。YTHDF2同样被证实存在于内体中。机制上,抑制内吞作用的关键蛋白动力或敲低RNA转运蛋白SIDT2,均能减少U6和YTHDF2在内体中的富集,并降低U6稳定性。重要的是,U6敲低会减少内体中的YTHDF2,而YTHDF2敲低则增加内体U6,说明YTHDF2是跟随U6进入内体的。使用动力抑制剂Dynasore可抑制炎症基因表达,证明U6进入内体是其激活TLR3所必需。

图5 U6与YTHDF2均定位于内体介导炎症反应
6、UVB irradiation抑制YTHDF2
研究揭示了UVB通过翻译后修饰和蛋白降解两条路径抑制YTHDF2功能。质谱分析发现UVB照射后YTHDF2第39位丝氨酸发生去磷酸化。Co-IP实验表明,去磷酸化削弱了YTHDF2与CNOT1(介导RNA降解的关键因子)的互作,并增强了与磷酸酶亚基MYPT1的互作,从而解释了其功能失活。同时,UVB通过激活自噬降解YTHDF2蛋白,这一过程依赖于自噬受体p62。敲低自噬关键基因ATG5/7或p62,均可阻止UVB引起的YTHDF2下调及U6累积。这些发现阐明了环境应激如何通过破坏YTHDF2的稳定性和功能,导致U6累积并最终引发炎症。

图6 UVB irradiation抑制YTHDF2活化
7、YTHDF2通过抑制TLR3通路抑制皮肤肿瘤发生
研究最终将分子机制与肿瘤发生相联系。功能实验表明,YTHDF2敲低促进皮肤癌细胞增殖、迁移和裸鼠移植瘤生长,而过表达则抑制这些表型。在慢性UVB诱导的小鼠皮肤癌模型中,皮肤特异性敲除YTHDF2显著增加了肿瘤数量并加速了肿瘤发生。机制上,U6敲低或TLR3抑制均可逆转YTHDF2敲低带来的促瘤效应。同样,使用COX-2抑制剂Celecoxib也能抑制YTHDF2敲低细胞的增殖。对人类皮肤鳞癌组织的分析显示,YTHDF2蛋白水平显著降低,且与肿瘤进展负相关。这些结果确立了YTHDF2通过抑制U6-TLR3轴在皮肤肿瘤发生中扮演关键抑癌角色。

图7 YTHDF2通过抑制TLR3通路抑制皮肤肿瘤发生
全文结论:
研究揭示了一条由METTL16–m⁶A U6–YTHDF2–TLR3构成的全新信号轴,阐明了YTHDF2通过识别m⁶A修饰的内源性U6 snRNA并促进其降解,进而竞争性抑制U6与TLR3结合,从而在生理状态下抑制炎症反应的核心机制。研究进一步发现,UVB辐射通过诱导YTHDF2去磷酸化及p62介导的自噬降解双重途径破坏该调控轴,导致U6累积并激活TLR3信号,最终驱动皮肤炎症与肿瘤发生。体内外实验证实YTHDF2具有抑制肿瘤的生物学功能,其表达在人类皮肤癌及自身免疫病中显著下调。该发现不仅拓展了m⁶A修饰与非编码RNA在免疫调控中的功能认知,也为相关疾病的治疗提供了潜在新靶点。
研究意义与展望
本研究具有重要的理论与临床意义。在理论层面,它突破了以往对m⁶A功能集中于mRNA的认知,揭示了一种由m⁶A修饰的“自我"非编码RNA(U6 snRNA)驱动的先天性免疫激活新范式,将表观转录组学、非编码RNA生物学与免疫学紧密连接。其阐明的 YTHDF2作为“分子开关",通过竞争性结合抑制TLR3过度激活的机制,为理解细胞内如何区分并控制“自我"RNA的免疫原性提供了全新框架。
在临床层面,该研究为炎症性皮肤病、自身免疫疾病(如SLE)及皮肤癌的防治提供了新的潜在靶点。YTHDF2、METTL16或m⁶A U6本身,以及其下游的TLR3信号通路,均可作为潜在的干预窗口。例如,开发小分子激动剂以增强YTHDF2功能,或使用中和抗体阻断U6与TLR3的结合,可能为缓解病理性炎症和抑制肿瘤发生提供新策略。
此外,几个关键问题有待深入探索:首先,m⁶A U6在其它组织、炎症类型及癌症中的作用是否普适?其次,YTHDF2的磷酸化调控网络及其与自噬降解的串扰机制仍需细化。此外,能否开发出靶向该通路的安全有效疗法,并克服TLR通路调控可能带来的脱靶效应,是迈向临床转化的核心挑战。总之,这项工作开辟了一个充满前景的研究方向,预示着靶向RNA修饰及其阅读蛋白可能成为未来免疫代谢疾病治疗的新前沿。